-
온라인 간편예약홈페이지에서 온라인 상담·예약이 가능합니다.
온라인 진료 예약 서비스는 신청 후 병원에서 확인 전화를 드린 후
예약이 확정됩니다.
휴무일, 업무시간 외 신청한 예약 건은
정상업무일
오후부터 차례대로 확인 전화를 드립니다.
※ 주의 사항 ※
확인 전화를 받지 않으셨다면 예약 확정이
되지 않은 상태이므로 문의해 주시길 바랍니다.
◆ 온라인 예약 신청건은 접수된 순서대로
진료 예약팀에서 연락드리겠습니다. ◆
(빠른 예약을 원하시면 1833-2280으로 연락 부탁드립니다)
어린이가 태어나서부터 바르고 곧은 다리 모양을 갖추는 것은 아닙니다.
“O”형, “X”형 다리를 거쳐 5세를 지나면서 다리 모양은 보통 곧고 바른 모습으로 서서히 변화하게 되므로
성장하는 과정 중 정상적인 상태입니다. 하지만 “O”형, “X”형 다리가 항상 정상은 아닙니다.
소아의 O자, X자, 휜다리, 안짱다리, 까치발은 성장하면서 자연스럽게 교정되는 경우도 흔하지만,
증상에 따라 수술적인 교정법이 필요할 수 있습니다.
O자, X자, 휜다리, 안짱다리, 까치발
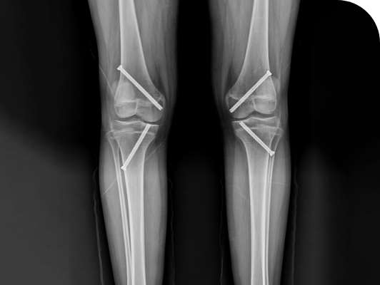
두발로병원의 휜다리 치료, 경피적 성장판 정지술은 성장이 남아있는
아이의 경우 성장판 한쪽에 기구를 이용해 일시적으로 자라지 않게 고정 한 후
반대쪽 성장판을 키워 성장하는 동안 점진적으로 교정되게 하는 수술입니다.
수술 전
교정이 필요한 휜다리
수술 후
나사 못으로 교정한 상태


까치발은 대부분 만 5세에 까치발이 사라지고, 2%에서만 까치발이
남아있습니다. 만 7-9세 이상 지속되는 까치발에 근육이 상당히 짧은
경우에는 수술적 치료가 필요할 수 있습니다.
두발로병원의 까치발 교정 수술, 아킬레스 연장술은 까치발 교정을
목적으로 단축하고 있는 아킬레스 힘줄의 길이를 연장하는 수술입니다.
수술 전
까치발 교정 수술 전
수술 후
까치발 교정 수술 후


Dubalo Pediatric Rehab Clinic

혈액 내에 산소의 함유량이 늘어나므로, 성장판에 공급이 되는 혈액의 양이 늘고 성장 및 치유에 관련된 세포들의 활성화를 돕는 효과가 있습니다

연령, 기능 수준에 맞는 체계적인 목표설정을 한 후 단계별로 실시하며, 유산소 및 근력 훈련 등으로 집중 치료를 합니다.

거북목, 구부정한 자세, 어깨 및 골반 불균형, 척추 측만증, 키즈&청소년 자세교정 성장판 자극 스트레칭, 성장마사지
CT에 비해 방사선 피폭량이 약 1/10으로 적고
일반 X-Ray 영상에 비해 이미지가 뛰어나며
미세골절까지 진단이 가능합니다.
체중을 실어 관절의 변화를 정밀하게 진단하며
적은 방사선 노출로 하지 정렬을
측정할 수 있습니다.