-
온라인 간편예약홈페이지에서 온라인 상담·예약이 가능합니다.
온라인 진료 예약 서비스는 신청 후 병원에서 확인 전화를 드린 후
예약이 확정됩니다.
휴무일, 업무시간 외 신청한 예약 건은
정상업무일
오후부터 차례대로 확인 전화를 드립니다.
※ 주의 사항 ※
확인 전화를 받지 않으셨다면 예약 확정이
되지 않은 상태이므로 문의해 주시길 바랍니다.
◆ 온라인 예약 신청건은 접수된 순서대로
진료 예약팀에서 연락드리겠습니다. ◆
(빠른 예약을 원하시면 1833-2280으로 연락 부탁드립니다)
발목의 관절 연골이 닳아 없어지거나 손상되어 정상적인 기능을 하지 못할 때 관절을 인공관절로 대체하는 수술법입니다. 발목 관절 보존 수술을 하기 어려운 말기 발목 관절염에서 시행하는 수술입니다. 발목관절 유합술과는 달리 인공관절을 삽입하여 발목관절의 움직임을 보존하여 원래 걸음걸이를 유지시켜준다는데 장점이 있습니다.
발목 관절은 뼈가 작고, 아래쪽으로 여러 개의 뼈로 이루어진 유연한 발이 있기 때문에 인공관절을 안정적으로 삽입하는 것이 실력입니다. 본원은 서울 족부센터 이래 10여 년 이상 연간 120건씩, 오랜 노하우를 바탕으로 발목의 인공관절 수술을 성공적으로 시행해오고 있습니다.

발목 인공관절 수술은 손상된 관절면을 제거하고 인공 관절을 삽입해
관절염으로 발생한 증상과 통증은 완화시키고 관절 운동 범위와 기능을 개선할 수
있습니다. 회복이 빨라 금방 일상생활로 복귀할 수 있습니다.



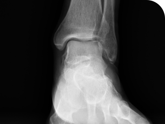
수술 전

발목의 전체부위가 연골이 다 닳아있는 발
수술 후

인공관절이 안정적으로 삽입된 발


쾌적하고 청정한 무균수술실
부작용 예방과
안전한 수술을 위한첨단 의료장비
마취통증의학과 전문의의 1:1 책임전담마취
| 시간 | 월 | 화 | 수 | 목 | 금 | 토 |
|---|---|---|---|---|---|---|
| 오전 | 수술 | 수술 | 수술 | 수술 | 진료 | 휴진 |
| 오후 | 진료 | 수술 | 진료 | 수술 | 수술 |
정형외과 전문의
소아정형외과 전문의
| 시간 | 월 | 화 | 수 | 목 | 금 | 토 |
|---|---|---|---|---|---|---|
| 오전 | 진료 | 수술 | 수술 | 진료 | 수술 | 1,3,5주 |
| 오후 | 수술 | 진료 | 수술 | 수술 | 진료 |
| 시간 | 월 | 화 | 수 | 목 | 금 | 토 |
|---|---|---|---|---|---|---|
| 오전 | 진료 | 진료 | 진료 | 수술 | 수술 | 2,4주 |
| 오후 | 수술 | 수술 | 진료 | 진료 | 수술 |
| 시간 | 월 | 화 | 수 | 목 | 금 | 토 |
|---|---|---|---|---|---|---|
| 오전 | 수술 | 진료 | 진료 | 진료 | 수술 | 휴진 |
| 오후 | 진료 | 진료 | 수술 | 진료 | 진료 |
| 시간 | 월 | 화 | 수 | 목 | 금 | 토 |
|---|---|---|---|---|---|---|
| 오전 | 1,3,5주 | |||||
| 오후 | 진료 |
| 시간 | 월 | 화 | 수 | 목 | 금 | 토 |
|---|---|---|---|---|---|---|
| 오전 | 진료 | 진료 | 진료 | 진료 | 휴진 | 휴진 |
| 오후 | 진료 | 진료 | 진료 | 진료 | 휴진 |
| 시간 | 월 | 화 | 수 | 목 | 금 | 토 |
|---|---|---|---|---|---|---|
| 오전 | 진료 | 진료 | 진료 | 진료 | 진료 | 휴진 |
| 오후 | 진료 | 진료 | 진료 | 진료 | 진료 |